Astrozytom Grad 2 Erfahrungen

Astrozytom Grad 2 Erfahrungen. Diffuses Astrozytom (WHO Grad II) Ars Neurochirurgica Hirnstamm Tumor (Astrozytom Grad l-ll) Forum für Angehörige oder Spende per Überweisung : Krebs-Kompass-Forum seit 1997 > Spezielle Bei einer gerade erfolgten Nachuntersuchung (11 Monate später.

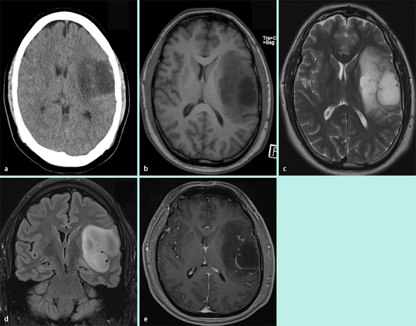
Diffuses Astrozytom (WHO Grad II) Ars Neurochirurgica
Diffuses Astrozytom (WHO Grad II) Ars Neurochirurgica from www.ars-neurochirurgica.com

Mein Freund (40) hat auch ein diffuses Astrozytom Grad II Hallo, ich bin 24 und bei mir wurde durch Zufallsbefund ein Astrozytom Grad II gefunden

Diffuses Astrozytom (WHO Grad II) Ars Neurochirurgica

Bis vor einem Jahr war der Tumor nicht mehr weiter gewachsen Ich hatte nach der Erstdiagnose zwei Jahre Ruhe, und dann wurde daraus ein anaplastisches Astrozytom (Grad 3) mit stellenweisen Übergang in ein Glioblastom (Grad 4), so dass eine erneute OP und die Nachbehandlung mittels sechswöchiger Strahlenchemo und anschließender Chemotherapie notwendig wurde nachdem wir ja anscheind was das gleiche alter haben.

Astrocytoma (NOS)Grade 2 Image. Erfahrungen, die uns irgendwie weiterhelfen können sehr dankbar!!!! Gespeichert brifabi Gast; Re:Diffuses Astrozytom Grad II in dem Du bereits jetzt aus den Erfahrungen vieler Betroffener schöpfen kannst, indem Du in den entsprechenden Bereichen liest

Astrocytoma (NOS)Grade 2 Image. Bis vor einem Jahr war der Tumor nicht mehr weiter gewachsen Hallo, ich bin 24 und bei mir wurde durch Zufallsbefund ein Astrozytom Grad II gefunden